BRAF(V600E)
货号: 26039 |
基因符号: BRaf |
描述: BRaf(V600E) 小鼠单克隆抗体 |
背景: B-Raf is a member of the Raf family of Ser/Thr protein kinases. It functions downstream of Ras to regulate the MAP kinase signaling pathway. Mutations in the BRAF gene cause diseases. Inherited mutations in BRAF cause cardiofaciocutaneous syndrome. Acquired mutations in BRAF have been found in cancers |
免疫原: A synthetic peptide from the internal region of BRaf(V600E), human origin. |
经过测试的应用: ELISA, WB, IHC, IP |
推荐稀释度:
ELISA: 1:100-1:5000
WB: 1:100-1:2000
IHC: 1:100-1:1000 |
浓度: 1 mg/ml |
种属反应性: Mouse |
形式: Liquid |
克隆性: Monoclonal |
亚型: IgG2b |
纯化:: Purified from ascites |
Storage buffer: |
Preservative: No |
成分: PBS (without Mg2+ and Ca2+), pH 7.4, 150 mM NaCl, 50% glycerol |
种属反应性: Recognizes B-Raf(V600E), but not wild type B-Raf proteins from vertebrates. |
储存条件:: Store at -20°C. Avoid repeated freezing and thawing |
Western blot:

Western blot analysis of recombinant B-raf proteins with BRaf(V600E) antibody.
Purified His – tagged B-Raf( V600E ) ?amino acids 513-693)(lane1) ? corresponding wild type protein(lane 2), His – tagged B-Raf( V600D ) (lane 3) , His – tagged B-Raf( V600A ) (lane 4) , His – tagged B-Raf( V600G ) (lane 5) , His – tagged B-Raf( V600K ) (lane 6), His – tagged B-Raf( V600R ) (lane 7), and His – tagged B-Raf( V600M ) (lane 8) were blotted with B-Raf(V600E) monoclonal antibody (Cat # 26039) .
Immunofluorescence:

Immunofluorescence of cell expressing BRaf protein with BRaf(V600E) antibody . HEK293T cells were transfected with pCDNA3-GFP- B-Raf( V600E )plasmid,pCDNA3-GFP- B-Raf( WT )plasmid, pCDNA3-GFP- B-Raf( V600K )plasmid,pCDNA3-GFP- B-Raf( V600R )plasmid, pCDNA3-GFP- B-Raf( V600A )plasmid,pCDNA3-GFP- B-Raf( V600D ) plasmid, pCDNA3-GFP-B-Raf(V600M)plasmid, or pCDNA3-GFP-B-Raf(V600G)plasmid, then fixed and stained with B-Raf(V600E) monoclonal antibody (货号 26039).
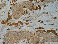
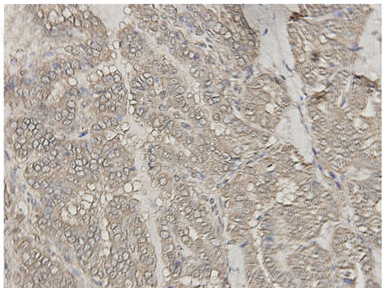
Immunohistochemistry:

B-Raf(V600E) monoclonal antibody (货号 26039). Tissue samples were fixed with formaldehyde and blocked with 1% serum for 15 min at 37 °C. Antigen retrieval was by heat mediation in citrate buffer (pH6). Samples were then incubated with primary antibody (1:100) overnight at 4°C. A HRP-conjugated Goat mouse IgG (dilution 1:50) was used as secondary antibody.

Immunohistochemical analysis of paraffin-embedded Thyroid Carcinoma tissue -with BRaf (V600E) monoclonal antibody (货号 26039). Tissue samples were fixed with paraffin. Samples were then incubated with primary antibody (1:100) overnight at 4°C. An HRP-conjugated Goat mouse IgG (dilution 1:50) was used as the secondary antibody. Allele-specific PCR validated to be Negative for BRAF V600E.

Immunohistochemical analysis of paraffin-embedded Thyroid Carcinoma tissue -with anti BRaf(V600E) monoclonal antibody (货号 26039). Tissue samples were fixed with paraffin. Samples were then incubated with primary antibody (1:100) overnight at 4°C.A HRP-conjugated Goat mouse IgG (dilution 1:50) was used as secondary antibody.Allele specific PCR validated to be Negative for BRAF V600E.